スーパーエナメル
- Qスーパーエナメルを体験してみて第一印象はどうですか?
- Aキレイになってる!と実感が湧くのは、やっぱり写真を撮ったときですね。嬉しくなります!
それと、ふと鏡を見る時、「白くてキレイになったなぁ!」と思い嬉しく自然と笑顔になれます。
友達からも「歯がとてもキレイだね!」とほめられることが多くなりとても嬉しいです。 - Qデメリットはありませんか?
- Aじつは、今回まったく歯を削っていないので「もしかして厚みが若干でるかな?」と少し覚悟していました。
0.3mmの厚みのことは事前にお聞きしていたので…。
でも、結局そんな心配は必要なくて。横からみても不自然さはないでしょう?
話す時、食事の時も違和感がなく、じつは施術前とまるで変わらない感覚なんですよ。 - Qお手入れの面は?
- A意外だったのは、スーパーエナメルの表面がツルッとしているので汚れが付着しにくいこと!
汚れたときは、以前の自分の歯よりもわかりやすいですね。
これはお手入れのタイミングを逃さないな、と。嬉しい誤算でした(笑)
スーパーエナメルを付けたことでお手入れが面倒になることはなくて、白くてキレイな歯を鏡で見ながら楽しく歯磨きしています。 - Q施術はこわくなかったですか?
- A痛い治療ではないので全然こわくなかったですし、むしろエステ感覚でリラックスでき、しあわせな時間でした。
これは歯科治療が苦手な方でも抵抗ないだろうなと思いました。 - Q最後に体験者としてお聞きします。友人におすすめできますか?
- Aはい、おすすめできます。
自分の歯を残せるというのは、すごくメリットを感じました。
大きく削って、被せて白くする方法なら、従来からありました、芸能人みたいな?
でも、安全性や将来への不安とか考えると、むし歯がない歯を削るというのは私には結構ハードルが高くて…。
その点「スーパーエナメル」なら削らないので安全性が高いですし、安心感と自然な美しさの両方が得られるので。 - Qスーパーエナメルにしていかがですか?
- A歯磨きが楽になりました。
今までは歯を磨いても汚れが落ちにくく、歯はザラザラしていてこれが普通だと思っていましたが、今は歯がツルツルで、汚れがすぐに落ちます。
定期検診でも磨き方が良くなったと言われるようになりました。 - Qデメリットはありませんか?
- A今のところありません。
他の人に自分の歯ですか?と聞かれ、なんと答えていいか困ることがあります。/dd> - Q治療をお考えの方へメッセージはございますか?
- A専門家でないので良くわかりませんが、今までのようにむし歯ができないような気がします。
- ちょっと興味があってスーパーエナメルがどういうものか聞きたい
- スーパーエナメルの実物を見てみたい
- 医院の雰囲気を見てみたい
- スーパーエナメルの特徴
- 素材について
- 施術で出来ること、注意点
- 装着までの流れ
- フォローアップについて
- 治療費について
- その他の治療法について
- ご質問(もしあれば):15分程度
- スーパーエナメルの厚みの分だけ歯が前に出る変化
- 歯の大きさの変化
- 施術前の歯の状態を記録
- 検査(歯や歯ぐきにトラブルがないかチェック)
- 歯ぐきの調整(ご希望に応じて歯ぐきの切除)
- 印象作成(型どり)
- Supre Enamel®︎スーパーエナメルのシェード決定(カラー選び)
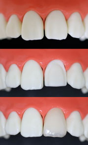
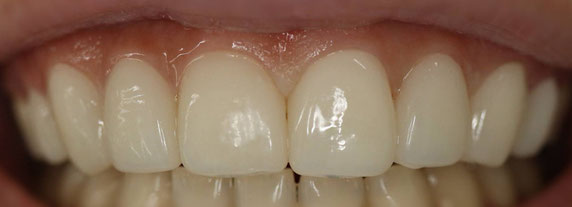
理想的な白い歯になれる治療法

健康な歯を削らずに白く美しくすることができます!!
強度のある極薄の人工素材を、歯の表面に特殊接着剤で貼り付けます。
条件が整えば2回の通院で治療が完了するのも魅力的です。

![]() |
![]() |
患者さまのお悩みで非常に多いのが「歯を白くキレイにしたい」というもの。
歯を白くキレイな形にするには、表面を大きく削り何かをかぶせる方法が一般的です。
「健康な歯は、削りたくない」というのが私達の考えです。
今までは健康な歯を削らずにご希望どおりにすることができずにいましたが、時と共に格段に技術が進歩し、歯を削らないでも歯を白くキレイにすることができるようになりました。
それが Super Enamel®︎スーパーエナメル です
片側だけ装着したところ

健康な歯を削ることなく装着OK
従来のべニアのように、大きく削る必要はありません。
天然歯を温存したまま、歯を白く美しくすることができます。
歯にとても優しい治療方法です。
極薄!
最薄部は0.1mm〜とコピー用紙なみの薄さで、なだらかなステップで歯と歯ぐきの境目をカバー。
硬度300-1200Mpa
素材の種類も豊富で、人気があるのはジルコニアです。
人造ダイヤモンドの原料としても使われる非常に硬度の高い高級素材です。
キレイなまま長持ち
正しくお手入れすれば、10年以上使い続けることも可能です。
カレーやコーヒー等で素材内部まで色が染まる心配もありません。
最短2回の来院でも可能
「歯を削る」という工程がないので、施術時間も短縮されます。
虫歯などがある場合は、あらかじめ治療しておくことが大切です。
製作がスピーディー
技工所は日本国内です。
約3〜4週間ほどでフルオーダーメイドのスーパーエナメルが届きます。
デザイン性の高さ
素材の種類とセメント(接着剤)を実物を見ながら選んでいただけます。
ご希望にそった理想の歯になるよう組み合わせをアドバイスいたします。
天然歯の色ムラや治療痕などを隠せる
透明性の低い素材やセメントの組み合わせで、下地となる歯のトラブルをカモフラージュすることができます。
歯並びの多少のガタつきなら矯正可能
スキッ歯、倭小歯(普通サイズより小さい歯)に最適です。
むし歯予防効果
歯の硬い表面に極薄のスーパーエナメルを貼りつけるので、虫歯の原因菌が天然歯まで届きません。
汚れにくくお手入れ楽々
滑らかな表面のために汚れも付着しにくく、お手入れもしやすくなります。
毎日の歯磨きに費やす時間も短縮できます。
長期的には経済的
スーパーエナメルは確かに安くはないかもしれません。
けれども一度、施術してしまえば将来にわたり長く使用が可能で、他の治療法と比較すると生涯コストはむしろ経済的といえるでしょう。
こんな方にお勧めします
ホワイトニングとは違う理想の白さにしたい!
キレイな形の白い歯にしたい!

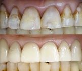
従来のラミネートべニアの欠点

従来のラミネートベニアは下の模型のようにむし歯がない良い歯でも、表側を削る必要があります。
また、歯とベニアの境目(マージンライン)に溜まった汚れが原因で、削って露出した象牙質という歯の弱い組織からむし歯菌が歯の奥深く侵入する可能性は否定できず、将来的に不安が残ります。
Super Enaml®︎ スーパーエナメルの改良点
エナメル質は虫歯予防にとってとても大切な存在です。
従来のべニアのように象牙質が剥き出しにならないので、歯を守る効果があります。
スーパーエナメルの場合、キワ部分は極薄で美しいステップライン形状になっています。
汚れが溜まりがちな歯と歯ぐきの境目にぴったりフィット。
天然エナメル質を保持しつつ、歯ぐきとの境目(マージンライン)もガードできるので、従来のラミネートベニアに比べると虫歯になりにくいのです。
もちろんどのような審美治療でもアフターケアは必須です。
アフターケアありきでお口の中がいい状態に保てるのですが、スーパーエナメルはアフターケアもしやすくなるのも嬉しいところです。
表面の詰め物の色が気になるけれど歯を削りたくない人や、もちろんご高齢男性にも…。 |
むし歯はないので、歯は削りたくない。でも歯の色はいつでも一定な白さでいたい人にはこの方法がお薦めです。 |
審美治療・比較表
| ▼比較項目 | スーパーエナメル |
ホワイトニング | ホワイトコート | ラミネートべニア |
| 歯への影響 | ★★★ 歯を削らない |
★ | ★★ | ★ 歯表面を削る |
| 持続性 | ★★★ 長期 |
★ 短期間用 |
★ 短期間用 |
★★ |
| 耐久性 | ★★★ 擦り減りなし |
★ 色調整に難点 |
★ はがれやすい |
★★★ |
| 色調 | ★★★ 豊富> |
★★ 色指定不可 |
★ 色が少ない |
★★★ 豊富 |
| 色調持続 | ★★★ 変色なし |
★ 長くて数か月 |
★ 変色する |
★★★ 変色なし |
| メンテナンス | ★★★ 防汚効果あり |
★★ 定期的に必要 |
★ 剥がれる |
★★ |
| 虫歯予防 | ★★★ 境目をカバー |
★★★ 殺菌効果 |
★ 汚れがつく |
★ 境目に不安要素 |
| 施術時間 | ★★★ 型を取るだけ |
★★ 回数が必要 |
★★ 塗布長時間 |
★ 歯を削る時間が長い |
| 経済性(単価) | ★ | ★★ | ★★★ | ★ |
| 経済性(生涯費用) | ★★★ 長く持つ |
★ | ★ | ★★★ 長く持つ |
| 適応部位 | 上前歯アーチ | 上下前歯アーチ | 上前歯アーチ | 上下前歯アーチ |
(注)この比較表はあくまでも一般的な指標であり、固有のサービスを指したものではありません
施術の雰囲気が動画で見られます [再生時間 1:48]
削らずに白い歯
「天然歯を残して白くしたい…」
私達の願いがついに叶う時代になりました。
極薄化により、天然歯を削らない装着が可能に。
また、天然歯の形態的な欠点(ガタつき・スキッ歯)を修正できる効果もあります。(スーパーエナメル矯正)
最先端技術
従来のラミネートべニアでは実現できなかった薄さと硬度(600-1200MPa)を実現。
特に虫歯になりやすい歯ぐきとの境目(マージンライン)は紙のように薄い形状です。
高い技術性のため、スーパーエナメルを作れるのは国内でも少数の歯科技工士だけです。(特許取得済)
※Mpa(メガパスカル):曲げ強さの単位
安全、安心
認定医だけが施術できるスーパーエナメル。自分の歯のエナメル質を残せるので、将来的に安心感があります。
施術後はスーパーエナメルを長く愛用していただけるよう、お手入れの指導をいたします。
地域に根ざした、「かかりつけ歯科医機能強化型歯科診療所」の認定を受けた歯科医院だからこそアフターケアにも強みがあります。
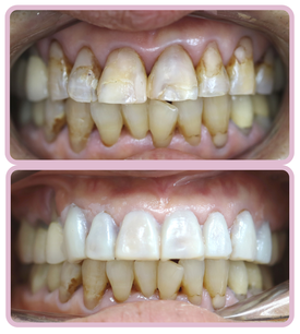
スーパーエナメル症例

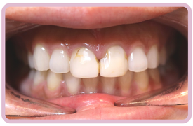
長さが短かい小粒な歯だったので、歯ぐきを1mm切除してモデルさんのような縦長の歯にしました。
肌色に映えるキラキラしたイメージに変わりました❤︎
症例・当院の歯科衛生士 Kさん
スーパーエナメルの素材・色
ZR(ジルコニア)・OM2
セメント
遮色効果の低めのもの(透けやすい)を使いナチュラルな白い歯になるように色調を調整
セメントカラー
Supreme White
スタイル
国内外のモデルがお好みのスクエアー型にやや丸みをつけ優しいイメージで仕上げました

【あとがき】
インタビューでのKさんは、明るい表情でにこやかに語ってくれました。
やはり、歯に自信を持てたという体験が、素敵なオーラとなって伝わるようなひと時でした。
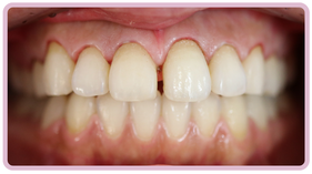
男性にも!「素敵になったね!」…喜んでくれたのは家族でした。症例・A様

スーパーエナメルの素材・色
ZR(ジルコニア)・3L2.5
セメント
遮色効果の低めのもの(透けやすい)で天然歯の色を活かしています。
セメントカラー
A1 「人工的な白さを避けたい」というご希望で自然な色味のA1を選択。
スタイル
スクエアー型をさらにがっちりとしたフォルムに仕上げ力強さを表現しました。
ご両親からB様へのプレゼントとして❤︎ 症例・B様
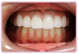
小学校の頃に前歯のすき間をプラスチックで詰めたけど、色が変わってしまって気になる…。
でも、歯の治療はそれ以来したことがないので、こわくて…。削るのは絶対避けたい…。
そのような娘様のためにお母様がインターネットで調べてたどり着いたのがスーパーエナメルでした。
スーパーエナメルの素材・色
ZR(ジルコニア)・OM1
セメント
遮色効果の低めのもの(透けやすい)を使いナチュラルな白い歯になるように色調を調整
セメントカラー
Supreme White
スタイル
縦長のスクエアー型、素敵な大人の女性をイメージして仕上げました

お仕事が忙しく歯磨きがおそろかになってしまったそうです。
これを機会に改善していきたいということで、歯ぐきをまず落ち着かせていくことをご提案しました。
前歯は隙間に、プラスチックが詰めてあり、色が変わってきています。プラスチックは汚れがつきやすいので、歯磨きが難しく歯ぐきが腫れて、丸く膨れ上がっていました。そのため歯が余計に短く見えていました。向かって右側(左上の前歯)の歯のプラスチックを一部切削して歯磨きをしやすくして、定期的に歯のクリーニングを行いました。
定期的な通院で少しずつ歯科治療にも慣れて、磨き方も上手になってきました。とても一生懸命に頑張って下さいました。

歯ぐきがキレイになったので、古いプラスチックを除去しました。
前歯にすき間はありますが、元々のご自身の歯はむし歯もなくキレイでした。
詰め物のせいで、むし歯っぽく見えていただけでした。
短い歯を長くみせるために歯ぐきを1.5mm(ポケットの深さの範囲内)切除(レーザー使用)しました。
かなり縦長な歯になりました。歯並びだけであれば矯正で十分キレイになります。
ただ、ご希望は白くてキレイな形の歯ということなので、予定の変更はなくスーパーエナメルを施術することになりました。

健康な歯ぐきにキレイな白い歯はとても美しいですね。スーパーエナメルは2回で終わる治療ですが、お口の中のコンディションによっては、下準備に時間がかかる場合もございます。
もしB様が急いでコンディションが整わずに施術をしていたら、B様の魅力がさらにアップする口元にはならなかったかもしれません。
この状態をキープできれば、とても長持ちすると思います。
笑う時に前歯を気にして手で口元を隠していたそうですが、施術後は手で口元を隠すことがなくなったとおっしゃるB様の笑顔はとてもキレイでキラキラ輝いていました。
【あとがき】

B様は当初、歯の色を一番白くしたいというご希望でした。
歯の色は一番白い色(OM1)にしましたが、セメントは最終的に元の歯の色を生かす、透け感のある方のセメントの一番白い色を選択され、ご自身のお好みの色に調整なさいました。
B様の肌の色に合った白い歯になりました。
選べるセメントの色とは?

セメントを左右で違う色のセメントを使っています。向かって右の色の方がより白いセメントを使っています。
セメントを変えるだけで、向かって右はホワイトニングをしたようなマットな白さでご自身の歯の色が遮られています。
左側は透明感のあるセメントを使っているため、ナチュラルな天然歯寄りの白さと印象を変えることができます。
画像ではわかりにくいかもしれませんが、接着する前に実際にセメントの色の違いを体験していただき、ご自身の好みの色を選んでいただけます。
スーパーエナメル施術後のA様と★記念撮影★

当院の歯科衛生士のKさんもスーパーエナメルをつけていますので比較ができます。
選ぶ歯の色・形態・セメントの色により雰囲気も全く違うのがわかりますね❤︎
スーパーエナメルの主な流れ
ご予約
まずはご都合のよい日の予約からお願いします。
来院して実物を見たり、触れたり、スーパーエナメルについて説明をうけることができます。
施術について何でもご相談を。
また、当院にはスーパーエナメルの治療を受けたスタッフがおりますので、実際の感想や使用感などのご質問をお受けし、本人がお答えすることも可能です。
また、カウンセリングとは別に当日に一緒にモックアップ(スーパーエナメル体験)ができるメニューもご用意しております。(実費別途)
ご予約はお電話でどうぞ。
※無料カウンセリングと術者によるカウンセリングのweb予約も可能となりました。
スーパーエナメルをしたいのだけど、病院の雰囲気は緊張するし…。というお悩みがある方は、予約の際に個室の待合室をご希望とお申し付け下さい。
個室には他の患者様はいらっしゃらないのでお寛ぎいただけます。
お友達の家に遊びに行く、実家に帰るという感覚でリラックスして緊張しないで施術が受けられるのではないかと思います。
無料15分カウンセリング
当院スタッフによるカウンセリングです。
など、お気軽にご利用ください。
術者によるカウンセリング
費用
最長30分 3,300円
※費用はすべて税込の表記となっております
(スーパーエナメルを施術される場合、この費用はスーパーエナメルの内金として精算いたします)
カウンセリングと同日にモックアップ(スーパーエナメル体験)をご希望の患者様は、カウンセリングの後に、型取りをいたします。
目安時間
型取り:30分
模型作成:1時間
スーパーエナメル体験:1時間
※別途費用がかかります
詳しくは下記をご覧ください
モックアップ(スーパーエナメル体験)
モックアップ(スーパーエナメル体験)とは?
「レジン」という合成樹脂を使い、患者様に合わせたモックアップ(実物大の模型)を作製し、それを歯に合わせて試せるメニューです。
いきなりスーパーエナメルを施術するのではなく、モックアップで装着感をプレ体験し、似合う色を慎重に選ぶことができます。
スーパーエナメルの施術をご希望の際には、必ず体験して頂きます。
スーパーエナメルがご自身のご希望に沿うものであるのかご確認下さい。
スーパーエナメルは歯を削らずに歯の表面に貼り付ける方法です。
その性質上、施術本数は上の前歯6本、8本、10本からお選び頂くことになります。
咬み合わせによっては下の歯にもスーパーエナメルを施術することが可能な場合もございます。
※施術本数については、例外もございますので、お気軽にご相談下さい。
1日コース
カウンセリングと同日に行うことも可能です
目安時間
型取り:30分
模型作成:1時間
スーパーエナメル体験:1時間
2日コース
1日目
目安時間 ▶ 型取り:30分
2日目
目安時間 ▶ スーパーエナメル体験:1時間
費用:33,000円
(スーパーエナメルを施術される場合、この費用はスーパーエナメルの内金として精算いたします)
実物により近く、ベストな状態で体験していただきたいと考えております。
できるだけ時間に余裕のあるお日にちをお選びくださるようお願いしております。
ケース1
![]() |
![]() |
![]() |
![]() |
ケース2
上:元の歯
下:体験中
短い歯が気になる方です。
歯を長くするために歯ぐきを切除予定です。
切除前に、縦長の歯がお顔に似合うかも確認して頂きます。
モックアップは切除前の歯ぐきの上に乗せた状態で作製していますので切除後の状態を疑似体験できます。
実際のスーパーエナメルは、表面がとても滑沢でツルツルしているので装着感は体験時よりはるかに良い状態が得られます。
型取りの際にはご希望の色を決めます。体験ではスマートフォンでも撮影できるので、仮歯を参考にして、色見本から選ぶと良いと思います。
もし、これらが気になる場合には歯を削るラミネートベニアになります。
※当院では歯を削るラミネートベニアの取り扱いはございません
ケース3
上:元の歯
下:体験中
チェックポイント
仮歯を体験して、上記のチェックポイントに問題がなければ、型取りへ進むことができます。
モックアップでは歯の色は隠せません。
この時点で元の歯の色が透けて見える場合には歯の色を遮る効果のあるセメントを選択することをお薦めいたします。
ケース4
もし、悩みのないキレイな歯の人がお試しでモックアップをしたら…。
左:元の歯
右:体験中
偶然のめぐり合わせで、たまたまモックアップされた方のご感想を伺うことができました。
個人的には今まで歯並びも悪いという認識はありませんでしたし、歯についての悩みはそこまで抱えていませんでした。
ただモックアップを試してからは元の状態を「明らかなすきっ歯だな」と感じるようになりました。
付ける前と付けた後でそれくらい印象が違ったということです。
他の人からはどう見られるかわからないですが今では割とすきっ歯治さなきゃな。という、want から have to に意識は変わりました。
空隙歯列(歯と歯の間に隙間がある)とはいえ、もともと歯がキレイですから、全く悩みなどないはずです。
偶然とはいえ貴重なご感想がいただけました。ありがとうございます。
歯だけでイメージって変わりますね。
一味違う素敵な笑顔です。
ちなみにですが、空隙歯列でお悩みの方で、矯正以外で治す場合には、Super Enamel®️がとても良く合いますので、かなりお薦めです。
Super Enamel®︎ スーパーエナメル施術
ステップ 1
縦長の歯をご希望の場合には(必須の治療ではありません)
歯ぐきをポケットの深さ内で切除して縦長の歯を演出
歯ぐきの切除
費用:5,500円(1歯)
歯ぐきの切除(エルビウムヤグレーザー使用)
費用:8,250円(1歯)
▶ 印象(歯型)を技工所に出します。
これをもとに約2週間後、オーダーメイドのスーパーエナメルが出来上がってきます。
スーパーエナメルの技工所は国内。だから海外技工所と比べて、かなりスピーディー。
(例)アメリカの技工所は約6週間以上かかります。
◆費用:110,000円(1歯)
スーパーエナメルZR(600Mpa/1200Mpa)
当院での取り扱いはZRのみとなっております
素材の種類の説明

※MPa(メガパスカル):曲げ強さの単位/数値が大きいほど強い
ステップ2 試適

スーパーエナメルはとても薄いので、下地になる歯の色を反映しやすくなっています。
事前に治療痕は修正、変色はホワイトニングをおこない、キレイな状態にリセットしたうえで、スーパーエナメルの試適(服でいう試着)を行います。
当日も歯の表面の汚れを落としてキレイになった歯にスーパーエナメルを合わせます。
ステップ3 カラーセレクト
セメントの色をお選び頂けます
セメントの種類と色味で微調整ができます。
出来上がったスーパーエナメルにお好みの色のペーストをつけて実際の見え方を確認することができます。
セメントの色をお選び頂けます。

選べるセメント(接着剤)の色/4色
セメントの色でさらにお好みの色を作り上げていきます。
接着に使うセメントの色を変えて確認ができます。
前歯2本を左右でセメントの色を変えています。
選べるセメント(接着剤)の種類/2種類
透明感のあるセメント:透明感があるので、天然歯の色を活かしたい時に使用
色を遮る効果のあるセメント:下地の色を遮る効果が高く、スーパーエナメルの色を活かしたい時に使用

カラーアドバイス
ご希望があれば専任スタッフがお肌の色、洋服の色の好みなどからカラーアドバイスをいたします
ステップ4 接着

ご自身でお選びのセメントで接着します
ステップ5 マウスピース作製

施術後メンテナンス用マウスピース
スーパーエナメルは極薄な素材です。
そのため一番強度のあるZRを使っておりますが、就寝時のご自身でコントロールすることのできない、歯軋りや咬み締める力等への対応として就寝時用マウスピースを、また緊急事態に対応できるように緊急時用マウスピースの、合計2個のメンテナンス用のマウスピースをご用意いたします。
スーパーエナメルを守るために、必要なものとご理解下さい。
就寝時用マウスピースはスーパーエナメル装着当日の就寝時より入れて頂きます。
装着後すぐに模型を採り、お作りいたします。
製作時間は1時間半頂きます。
緊急時用のマウスピースは作製にお時間がかかりますので、後日お渡しとなります。
費用:施術後メンテナンス用マウスピース一式
22,000円(就寝時用/1、緊急用/1)

マウスピース作製中はこちらのプライベート待合室でお待ちいただけます。
当日は長い時間でお疲れかと思いますので、仮眠も可能ですし、ご自由になさって下さい。
もちろん外出もできます。
スーパーエナメル施術後のメンテナンス
スーパーエナメルを良い状態で保つために…。
夜間のマウスピース装着
定期的な歯のお手入れ
この2点は必要なこととご理解下さい。
スーパーエナメルはセメント(歯とスーパーエナメルと接着するための接着剤)が重要な役割を果たします。
定期的な歯のクリーニングは、セメントをいい状態に保つためにもとても有効です。
それは歯や歯ぐきが悪くならないように健口のためにも必要なことです。
また、お口の状態を良く保つことは、将来のご自身に起こりうる色々な全身疾患のリスクヘッジにつながります。
身体の健康を保つために、施術後はメンテナンスを続けて頂くことを強くお奨めいたします。
定期的な管理
3ヶ月〜6ヶ月ごとに歯や歯ぐき、スーパーエナメルに異常がないかを確認します。
診察・管理料(施術後の来院時にかかります)
費用:1,320円
定期的な歯のクリーニング
費用:各種メニューは歯周病ドックをご覧下さい。
病的な状態がございます時には保険治療で対応が可能です。
マウスピース矯正 / invisalign(インビザライン)

スーパーエナメルはある程度の歯のガタつきは補正してキレイに並べることができます。
ですが、バランスが崩れている場合には矯正することをおすすめします。
歯並びが良くない場合には、上下のかみ合わせを矯正してキレイに並べることにより、スーパーエナメルはより長持ちします。
矯正は前歯の気になるところだけ部分的にキレイにすることも可能です。
ホワイトニング

より白い歯にしたい場合や、歯の色が濃い場合には先にホワイトニングをして、ご自分の歯の色を白くしてからスーパーエナメルを施術することをお奨めいたします。
スーパーエナメルを除去する場合
スーパーエナメルの除去をご希望の際の費用です。
※当院で作製したスーパーエナメルで、かつ必要がある場合の除去については費用はかかりません。
異常もなく除去の必要がないものに対して、患者様が除去をご希望の場合にのみ()内の除去料がかかります。

最後に…。
ここまで辿り着いて、このメッセージまでご覧になる方は稀だとは思いますが、最後までご覧になって頂きありがとうございます。
Super Enamel®︎に出会って
すごい、素晴らしい方法だと思いました。まさに私が探し求めていた方法です。
ただ、万能というわけではありません。
そのまま何の用意もなくSuper Enamel®︎をつけて終わりという方もいらっしゃいますが、矯正をしたり、いろいろな下準備をして最終的にSuper Enamel®︎で仕上げをすることもあります。
また、ご検討をされた結果Super Enamel®︎以外のものにする方もいらっしゃったりと多種多様です。
Super Enamel®︎はご希望を実現するための治療方法の選択肢の1つとお考えください。
私の場合
(一例としてご参考になさって下さい)
私は歯科医師なので歯科の勉強をしていますので、むし歯や歯周病という病的な状態に陥ることなく今まできました。
歯並びは良くなかったので、矯正の勉強を終えてから、私の尊敬する矯正の師匠にワイヤー矯正で4本歯を抜いて治療をして頂きキレイな歯並びになりました。
下の模型でお分かりになるでしょうか。
上あごが劣成長です。舌の悪い癖とアレルギーによる口呼吸で前歯の歯の軸が唇がわに傾いてます。
そのため上あごが劣成長であるにも関わらず、前歯が出て口からはみ出している印象になっています。横から見ると前歯の裏側が見えています。
今の時代であれば、舌の悪い癖は筋機能療法で(耳鼻咽喉科で口呼吸になる病因を改善してから)、上あごの劣成長は成長期に筋機能矯正で改善ができます。そうすれば、中顔面(眉間から鼻の下まで)と下あごの良くない方向への成長が抑えられ、上あごは良い方向への成長が促されたと思います。そして歯を抜かずにキレイな歯並びになった可能性もあったでしょうが、私が子供の頃はまだぞういう時代ではありませんでした。ちょっぴり残念です。
自分自身、ワイヤー矯正をしてから25年経ちます。矯正後にお口の周囲の筋肉・舌等の癖により、歯並びが少しずつ変わってくることは多々あります。最近になって少しだけ歯並びで気になるところが出てきましたので、インビザライン矯正を自分でしました。ワイヤー矯正は自分ではできないですが、インビザラインはアタッチメントを歯科衛生士が設置できますから、自分で思うように気になるところを微調整できたので満足しています。ちなみに、海外では一生で3回、歯の矯正をすると言われています。年齢、性別問わずきれいな歯並びはあたりまえ、日本ではまだそのような考え方は一般的ではないようですが、歯の予防治療やマウスピース矯正の普及により考え方に変化が出てくるのではと思っています。
年齢的にも歯の色が黄ばんでくる時期で、気になってきていたので、ポリリン酸を使ったホワイトニングもやり始めました。私のように、アラ還ともなると、ホワイトニングも若い人ほど白くならなくなってくるので、CAP System®︎とホワイトニングと併用しました。ホワイトニングの薬剤で歯が白くなり、CAP Systemでむし歯予防と歯質の強化できて一石二鳥以上のお得感です。歯が白くキレイになると気分が上がり、いろいろなことに笑顔で前向きに取り組めるようになります。あらためて歯は大事だと実感しています。
私は自分の歯の形態がとても気に入っているので、Super Enamel®︎をしていません。現時点では定期的にホワイトニングをしています。
矯正後の後戻りを防止する(保定)ため、スナップオンスマイルというマウスピースを私自身の選択で保定装置として使っています。色はホワイトニングの私の限界の色より2段階白いもので作製して白さを楽しんでいます。(※通常インビザライン矯正の保定はビベラリテーナーを使います。)
今後状態が変化してきた時にはSuper Enamel®︎という選択肢があるので、今後歳を重ねても歯を白くキレイに保つ手段がいろいろあるという安心感があります。
歯の治療方法もお手入れ方法も以前に比べて選択の幅が広がりましたので、選ぶ楽しさもあると思います。ご自身の納得のいく方法で良い状態のお口の中を長く保てるよう、私たちスタッフ一同お手伝いをいたしますので、お気軽にご相談下さい。



表面の詰め物の色が気になるけれど歯を削りたくない人や、もちろんご高齢男性にも…。
むし歯はないので、歯は削りたくない。でも歯の色はいつでも一定な白さでいたい人にはこの方法がお薦めです。



